|
|
|
 |
| 홈으로 |
> |
W에스테틱 치아성형 센터 |
> |
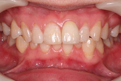
치아성형전후사진 |
|
|
|
|
회원정보
미니박스
메일
쪽지
문자
채팅
포스트
친구맺기
친구제외
방명록
선물하기
파일박스
홈페이지
%3Cul+class%3D%22Klocation%22%3E%3Cli+class%3D%22first%22%3E%3Ca+href%3D%22..%2Fhome%2F%22%3EHOME%3C%2Fa%3E%3C%2Fli%3E%3Cli%3E%3Ca+href%3D%22..%2Fhome%2Fsub02.php%22%3EW%EC%97%90%EC%8A%A4%ED%85%8C%ED%8B%B1+%EC%B9%98%EC%95%84%EC%84%B1%ED%98%95%EC%84%BC%ED%84%B0%3C%2Fa%3E%3C%2Fli%3E%3Cli%3E%3Ca+href%3D%22..%2Fhome%2Fsub02.php%3Fmid%3D9%22%3E%EC%B9%98%EC%95%84%EC%84%B1%ED%98%95+%EC%A0%84%ED%9B%84+%EC%82%AC%EC%A7%84%3C%2Fa%3E%3C%2Fli%3E%3C%2Ful%3E